ZADBAJ O LEPSZĄ PRZYSZŁOŚĆ
Idealne zęby w kwestii funkcjonalnej i optycznej są jakością naszego życia, a także coraz częściej stanowią warunek udanego życia zawodowego i prywatnego. Wiek szkolny, od pierwszej lub drugiej klasy szkoły podstawowej, jest optymalnym czasem na wstępną konsultację z ortodontą. Zwykle zajmuje to tylko kilka minut i daje pewność, kiedy i czy w ogóle wymagana jest korekta. Nie potrzeba żadnego skierowania, wystarczy po prostu zadzwonić i umówić się na termin kosnultacyjny. Mile widziani są oczywiście również wszyscy rodzice. Na piękne zęby nigdy nie jest za późno a korekta jest możliwa w każdym wieku!
LECZENIE
Zwłaszcza w fazie wzrostu można skutecznie skorygować wady ortodontyczne górnej i dolnej szczęki. Wczesne wykrywanie i leczenie jest zatem bardzo ważne. Najpóźniej w trakcie zmiany uzębienia – zwykle między 9 a 10 rokiem życia – zaleca się wykonanie badania ortodontycznego. Warto jednak zauważyć, że terapie ortodontyczne do
korekcji nieprawidłowości zębowych i wad zgryzu są w zasadzie możliwe jaki i przydatne w każdym wieku. Nie tylko wtedy, gdy przyczyną są problemy zdrowotne, takie jak ból stawów skroniowo-żuchwowych. Lecz także aby zmniejszyć ryzyko i koszty leczenia w perspektywie długoterminowej lub po prostu z powodów estetycznych.
KONSULTACJA
Chętnie odpowiemy na Twoje pytania i wyjaśnimy wszelkie niejasności bez zobowiązań! Bez skierowania od lekarza lub dentysty. Wystarczy zadzwonić i umówić się na spotkanie.
W ciągu kilku minut mają Państwo pewność czy, kiedy i jaka korekta jest możliwa, lub też niezbędna. Niezależnie od tego, czy są to dzieci, młodzież czy dorośli - leczenie jest możliwe w każdym wieku.
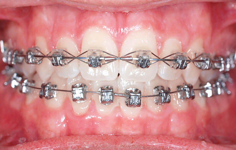
RODZAJE APARATÓW ORTODONTYCZNYCH
Istnieją różne sposoby leczenia wad zgryzu jaki i deformacji zębów i szczęki. Porady, planowanie i wdrażanie zawsze opierają się na indywidualnych potrzebach i wymaganiach Pacjenta.
W zależności od rodzaju i stopnia nieprawidłowości, a także postępów leczenia, stosowane są zarówno aparaty ruchome, jak i stałe – na życzenie również bardzo dyskretne (mało widoczne, przeźroczyste).
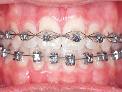
PRZYKŁADY LECZENIA
Przesuwając strzałki w lewo lub w prawo zobaczysz stan przed lub po leczeniu.
KOSZTY
Każde leczenie rozpoczyna się od wizyty konsultacyjnej. Jest to dla Państwa zawsze termin bezpłatny i niezobowiązujący. Dla każdego pacjenta, w każdym wieku. Na podstawie dokładnej diagnozy ustalany jest Plan leczenia i dopiero wtedy, na kolejnej wizycie zakładany jest właściwy aparat nazębny. Koszty leczenia ortodontycznego w przeważającej większości przypadków u dzieci i młodzieży (przed 18 rokiem życia) pokrywane jest przez ubezpieczenie zdrowotne.
Bez względu na to, czy jest to ubezpieczenie państwowe czy prywatne. U dorosłych sprawa wygląda jednak zupełnie inaczej. Tutaj koszty, w zależności od metody leczenia, będą różne ponieważ każdy przypadek traktowany jest indywidualnie. Na spotkaniu konsultacyjnym zwykle jednak jesteśmy już w stanie wybrać najlepszą dla Państwa opcję jak i oszacować koszty leczenia. Doradzimy w każdej chwili, zawsze bezpłatnie i bez zobowiązań!
ZZ Dental GmbH
Stadtplatz 8–10
D-94078 Freyung
T 08551 917800
freyung@zz-dental.de
Zapisy na wizytę osobiście
lub telefonicznie
Pon.|Śr. 8–12h i 13–17h
Wt.|Czw. 9–12h i 13–19h
Pt. po wcześniejszym umówieniu
